Un hombre estadounidense de 52 años descubrió que sus recurrentes migrañas ocultaban algo mucho más grave: parásitos alojados en su cerebro, posiblemente debido a su hábito de consumir tocino crudo. La situación comenzó cuando el paciente acudió a consulta tras notar un aumento en la intensidad de sus jaquecas, que no cedían con los medicamentos habituales.
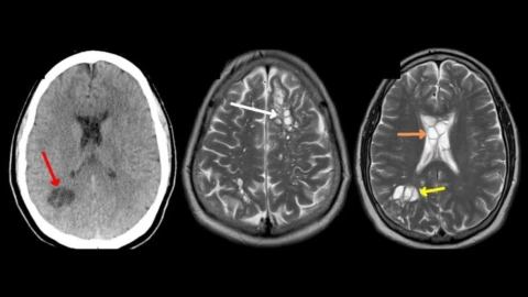
Durante la evaluación, los médicos revisaron sus signos vitales y realizaron un examen neurológico, sin encontrar anomalías aparentes. Sin embargo, la persistencia de las migrañas llevó a los especialistas a realizar una tomografía computarizada, donde identificaron múltiples “focos quísticos” en ambos hemisferios cerebrales. El hallazgo obligó a ingresar al hombre de urgencia al hospital y a realizar estudios más exhaustivos, incluida una resonancia magnética que confirmó las lesiones.
Diagnóstico inesperado: neurocisticercosis por Taenia solium
Tras sospechar de una infección parasitaria, los médicos descartaron la cirugía y remitieron al paciente a Infectología. Allí, los análisis de sangre detectaron anticuerpos que confirmaron cisticercosis. Asimismo, se identificaron anticuerpos contra Taenia solium, un parásito intestinal del ganado que puede provocar teniasis y cuya forma larvaria es responsable de la cisticercosis.
La infección ocurre generalmente por vía fecal-oral, es decir, por la ingesta de huevos del parásito, y no directamente por consumir carne poco cocida. No obstante, los expertos señalaron que la afición del paciente por el “tocino blando” pudo haberlo expuesto a la teniasis, y un lavado de manos inadecuado podría haber derivado en autoinfección, causando que los parásitos migraran a su cerebro.
Después del diagnóstico, los médicos administraron un tratamiento prolongado con antiinflamatorios y antiparasitarios. Con el tiempo, el paciente mostró una regresión de las lesiones cerebrales y una notable mejoría en sus migrañas, dejando en evidencia la importancia de un diagnóstico oportuno ante síntomas persistentes y atípicos.
Los Centros para el Control y la Prevención de Enfermedades (CDC) recomiendan medidas preventivas para evitar la cisticercosis, como lavarse las manos correctamente, limpiar frutas y verduras, consumir agua segura y evitar alimentos potencialmente contaminados, especialmente al viajar a zonas de riesgo.
La neurocisticercosis puede presentar síntomas variados, como confusión, problemas de atención, dificultad para mantener el equilibrio o acumulación de líquido alrededor del cerebro. Estos pueden manifestarse meses o incluso años después de la infección, lo que subraya la importancia de acudir al médico ante cualquier signo inusual.
📲 ¡Síguenos en nuestro canal de difusión de WhatsApp! —> Solo da clic aquí
Y para esta y más información, síguenos también en nuestras múltiples redes sociales: en Facebook nos encuentras como Azteca Chihuahua , vía Twitter @aztecachihuahua . Instagram como @tvaztecachihuahua y TikTok @tvaztecachihuahua o también visita más notas en nuestro sitio web www.aztecachihuahua.com
Quizás te interese: Esta es la millonaria cifra que tendría que pagar Christian Nodal si le es infiel a Ángela Aguilar
