La tuberculosis continúa siendo una enfermedad prevenible y curable; sin embargo, el retraso en acudir a recibir atención médica ha provocado muertes evitables en el estado. Autoridades de salud en Chihuahua advirtieron que uno de cada 10 pacientes diagnosticados pierde la vida debido a que busca ayuda cuando la enfermedad ya se encuentra en etapas avanzadas.
De acuerdo con datos epidemiológicos, el principal factor de riesgo no es la falta de tratamiento, sino la demora en identificar los síntomas y acudir a revisión médica. Cuando el diagnóstico llega tarde, aumentan las complicaciones y disminuyen las probabilidades de recuperación, pese a que existen medicamentos efectivos y disponibles.
Quizás te interese: Chihuahua suma 130 muertes por tuberculosis en poco más de un año
Retraso en atención médica eleva riesgo de complicaciones
El promedio de letalidad por tuberculosis en la entidad se ubica en 9 por ciento. Durante 2025 se confirmaron 890 casos y 121 defunciones, mientras que en lo que va de 2026, hasta la sexta semana epidemiológica, se han registrado 93 contagios y nueve fallecimientos. En poco más de un año, la enfermedad acumula 130 muertes en Chihuahua.
Especialistas aclararon que la situación no corresponde a un brote, ya que la tuberculosis es una enfermedad endémica cuyo comportamiento se mantiene dentro de los parámetros históricos esperados. Los municipios con mayor número de diagnósticos son Ciudad Juárez y Chihuahua capital, que concentran casi dos terceras partes de los casos.
Entre las defunciones recientes se encuentran personas de distintos grupos de edad, incluidos menores, jóvenes y adultos mayores, lo que refleja que la enfermedad puede afectar a cualquier sector de la población.
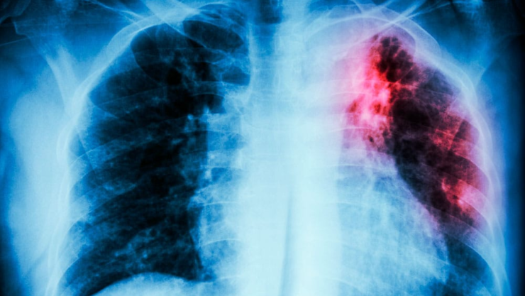
¿Qué es la tuberculosis?
La tuberculosis es causada por la bacteria Mycobacterium tuberculosis, la cual se transmite por el aire cuando una persona infectada tose o estornuda. Los síntomas más comunes incluyen tos persistente por más de dos semanas, fiebre, sudoraciones nocturnas, pérdida de peso y dolor torácico.
El tratamiento tiene una duración aproximada de seis meses y combina distintos antibióticos. Autoridades sanitarias insistieron en que suspender el esquema médico puede generar resistencia bacteriana y complicar la recuperación.
A nivel mundial, organismos internacionales advierten que la tuberculosis sigue siendo una de las principales causas de muerte por enfermedades infecciosas. Por ello, reiteraron el llamado a no minimizar los síntomas y acudir oportunamente a evaluación médica, ya que el diagnóstico temprano sigue siendo la herramienta más eficaz para salvar vidas.
📲 ¡Síguenos en nuestro canal de difusión de WhatsApp! —> Solo da clic aquí
Y para esta y más información, síguenos también en nuestras múltiples redes sociales: en Facebook nos encuentras como Azteca Chihuahua , vía Twitter @aztecachihuahua . Instagram como @tvaztecachihuahua y TikTok @tvaztecachihuahua o también visita más notas en nuestro sitio web www.aztecachihuahua.com
Quizás te interese: 'Saint Seiya' anuncia continuación del manga: la 'Saga del Cielo' ya tiene fecha oficial de inicio
